Welcome To Apollo Spectra Dental Care Hospital

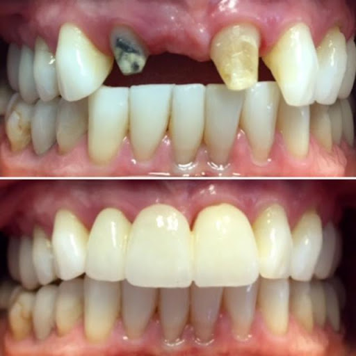
Crowns and Bridges

  • Home
  • Crowns and Bridges
Service Image
Treatment Name

Crowns and Bridges

Restoring Function and Beauty with
Crowns and Bridges

Crowns are an excellent solution for repairing damaged or weakened teeth, particularly after a root canal treatment. By covering the entire visible portion of a tooth, a crown restores its strength, function, and appearance, offering protection against further damage or decay. Crowns can also enhance the aesthetics of your smile by improving the shape, size, and color of a tooth, making them a versatile choice for both restorative and cosmetic purposes. Bridges, on the other hand, are designed to replace one or more missing teeth, filling gaps in your smile with natural-looking, durable prosthetics. A bridge consists of crowns placed on the teeth adjacent to the missing tooth (or teeth) to support an artificial tooth in between. This not only restores the function of your bite but also prevents surrounding teeth from shifting out of position, ensuring the long-term health of your dental structure.

Both crowns and bridges are fixed prosthetic solutions, meaning they are securely bonded to your teeth and are not removable. They provide long-lasting results, offering both functionality and aesthetic appeal. Whether you are looking to restore damaged teeth or replace missing ones, crowns and bridges are reliable options for achieving a healthy, beautiful smile.